College Sports

UNC’s Woody Durham fights against the disease that is stealing his voice

Woody Durham stops to look over photographs and connect names with faces in his home on Sept. 28, 2016 in Chapel Hill, N.C.
Woody Durham stops to look over photographs and connect names with faces in his home on Sept. 28, 2016 in Chapel Hill, N.C. rwillett@newsobserver.com

This is the second of three parts

 

The voice of the Tar Heels, Woody Durham, lives with a painful silence

For 40 years, Woody Durham was the voice of the Tar Heels, their radio play-by-play man. The Smith Center had been his place of work. Now, a neurocognitive disease threatens to rob him of his ability to speak.

SECOND OF THREE PARTS

For years, Woody Durham and his family feared the unknown while the retired UNC radio announcer gradually lost his ability to speak. At first the diagnosis of Primary Progressive Aphasia, a neurocognitive disorder that robs its victims of their vocabulary, brought relief.

At last, there was an answer. When Dr. Daniel Kaufer made the diagnosis, he said, Woody provided a “perfect reaction,” referencing his on-air problems late in his career: “Oh … so that’s why it was so hard.”

Woody Durham listens to neurologist Dr. Daniel Kaufer during a visit to his office on March 3 in Chapel Hill. During this recent visit Woody and his wife Jean discussed how they are dealing with his loss of vocabulary as his condition worsens.

Ten years ago, Woody would not have been diagnosed with Primary Progressive Aphasia. He would have been misdiagnosed, Kaufer said, likely with Alzheimer’s or “mild dementia.” The term “Primary Progressive Aphasia,” which is one of three aphasia subtypes, didn’t exist until 1982.

It is part of a broad spectrum of degenerative brain disorders, none of which are curable, or even all that treatable. These disorders include ones that are well known, like Alzheimer’s and Parkinson’s and others that decimate neurocognitive function amid considerably less public awareness.

Woody’s disease is unique, for one, because it’s a form of frontotemporal degeneration, which describes nerve loss in the frontal or temporal lobes in the brain. Second, it affects speaking and language comprehension in a way that other neurological diseases don’t. At least that’s how it begins.

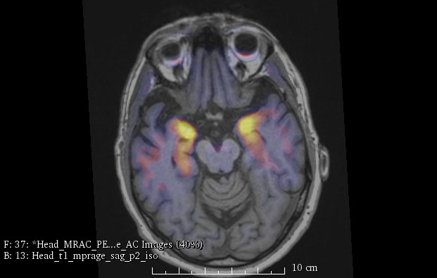
Attached is the first Positron Emission Tomography (PET) scan using a tracer for tau protein performed at UNC Hospital as part of a research study using one of only a handful of hybrid PET-MRI scanners in the country. This is a scan of a patient with Mild Cognitive Impairment, which shows tau protein binding selectively to the hippocampal regions, the memory-making part of the brain.

Kaufer, 57, has been a neurologist at UNC for 13 years, trying to treat conditions that are largely untreatable. Last spring he diagnosed five new cases of Primary Progressive Aphasia. Though Woody’s type of aphasia is relatively rare, with between 10,000 and 20,000 cases in the United States, some form of aphasia affects approximately 2 million people, most of the cases occurring after they’ve suffered a stroke.

To describe aphasia, Kaufer used an analogy: Imagine a bucket filled with words, a person’s vocabulary. A hole develops. The words slowly leak out. There is no way to plug the hole, or to fill the bucket back up the way it was. A word might be replaced but it falls out again. The hole grows.

Sometimes, most of the time, Primary Progressive Aphasia evolves into something else. It can lead to Alzheimer’s or another form of dementia. For Woody there is only one certainty.

“He will reach a point where he won’t be able to speak,” Kaufer said.

The disease does not shorten life expectancy in patients 65 or older. It can in younger sufferers.

Kaufer tries to help his aphasia patients reduce anxiety. Some aspects of their lives, certain hobbies, can continue for years, relatively unaffected. Kaufer recommends they stay active, that they try to be social. Sometimes Kaufer prescribes a dog.

A pet can help people with aphasia feel connected. Woody, 75, has family, his two sons and two grandchildren, 17-year-old twins Emily and Will. Most important, Woody has his wife, Jean, 76. Having someone like Jean “is the single most important thing,” Kaufer said, “Because Jean is now his conduit to the rest of the world.”

At UNC Kaufer is surrounded by advances in other fields. The Lineberger Cancer Center is across the street from his office. It provides Kaufer an ever-present reminder of the lack of progress in his own world. For most of what Kaufer treats – disorders of memory, emotion, language and the highest brain functions, little can be done.

“We’re just looking at it saying, ‘Well, oh well, it’s too hard,’ ” he said. “These are what fundamentally make us human. These are our highest cognitive functions. These are the things that we should be most motivated to protect. Because this is what defines us.”

They are also nearly impossible to treat when they break. In the 35 years since doctors identified Primary Progressive Aphasia, no treatments have been proven to stop its progression.

Woody wanted to go public, in part, to increase awareness, which could help raise money for research, which could help lead to breakthroughs. Other diseases have their champions, heroes who pledged to save others while realizing it was too late for their own lives.

Those with neurocognitive disorders often suffer in quiet solitude, fading away. Woody and his family wanted people to know. Last summer UNC announced the news of his illness. Woody recited a statement, the audio posted online. His voice sounded familiar but more monotone.

Audio

Hear Woody Durham’s open letter to fans.

He spoke of his diagnosis, “an ironic one at that.” This was his last public statement, the final time he’d address listeners who once heard him describe championship victories and agonizing defeats. Now Woody shared something else.

He wanted them to know, he said in the recording, “the impact that these neurocognitive disorders can have on individuals, families and friends.” He still planned to travel and to go to UNC events. He planned to remain as active as he could. Along the way he wanted to raise awareness.

“To really light a fire under people,” Kaufer said, “and say these are terrible, terrible diseases, and the thing is that so many families suffer. And they suffer tremendously, seeing that person they’ve known and loved their whole life, just gradually dissolve.”

For Woody, the words were coming more slowly all the time. Kaufer prescribed the only thing he could: stress-free environments, and comfort. Woody went on living: dinners out with Jean, his regular rounds of golf, time with his sons, his two grandchildren.

His entire life he’d connected with people. Now those around him – his family and friends and even people Woody had never met – tried to preserve the bond.

The bond

Woody formed that bond with his listeners in the days long before the Internet, before televised sports became ubiquitous, before highlights were widely available. It was a time when even a score could be hard to come by, when a radio voice provided one of the only ways to follow a team.

UNC-Duke basketball games are now national events. Viewers can watch them live on ESPN, or stream them on an app on their phones. Reporters and fans share thoughts in real time on Twitter. Highlights are immediately available worldwide.

When UNC and Duke played at Carmichael Auditorium in 1974, Woody provided the live coverage for many fans. Duke was just about to take an 86-78 lead with 17 seconds remaining when Woody said, “That will just about do it, right there.”

Four seconds later it was 86-82, Woody telling his audience to “hold everything.” He relayed the scene in front of him:

“People that were leaving have suddenly stopped in the exits.”

Then there were three seconds left, UNC with a timeout, trailing by two, after Duke missed a free throw. Here was Woody:

“All right, three seconds left. It’s 86, Duke, 84, Carolina. Kupchak will make the long front-court pass. Gets it to Walter Davis. Two, one, Walter, takes the shot. IT’S GOOD! THE GAME IS TIED! …

“... UNNN-BEEEE-LEAVE-ABLE!”

Audio

Hear Woody Durham call the end of regulation from UNC-Duke at Carmichael Auditorium in 1974.

The loud, long roar of the crowd muffled Woody’s words. The Tar Heels won in overtime.

Jean was in Carmichael that day, like she always was. Wes Durham sat next to her. He was 8.

In the years that followed, Wes knew he wanted to do what his dad did for a living. For years during his childhood Wes shadowed his father at basketball games, and in the press box at Kenan Stadium.

On the ride over from their home in Cary, Wes held the other team’s depth chart. Woody recited it, making sure he knew the backups as well as the starters, while he drove down Highway 54 into Chapel Hill. When they arrived, Woody went to work while Wes felt awed to be in a press box.

Wes Durham talks about his dad’s preparation and his ability to memorize the depth charts for opposing football teams, traveling with his father to football games, and the tools he learned and uses today in his broadcasting career.

As a boy Wes loved the fried chicken and Cokes there, and loved being in the Kenan radio booth. Wes stood behind Woody the day Amos Lawrence beat Duke on a draw in 1978, and when Kelvin Bryant scored six touchdowns in 1981. Most of Wes’ life, Woody was The Voice.

Some of me doesn’t want people to forget him. OK, you remember the calls. If you liked it, and you remember it, this is what we are. This is aphasia.

Wes Durham

Wes, 51, doesn’t want that to be lost. He wants people to remember the past and understand the present.

“Some of me doesn’t want people to forget him,” Wes said. “OK, you remember the calls. If you liked it, and you remember it, this is what we are. This is aphasia.”

When Woody announced his retirement, remembrances arrived from all over. He became emotional at his farewell press conference in April 2011, when he spoke about a blind UNC fan who thanked Woody for being his eyes all those years.

Five years later, Woody announced his illness. Again, letters came from everywhere.

Mike Krzyzewski sent one, David Cutcliffe. Gary Hahn, the N.C. State play-by-play man. Younger broadcasters whom Woody had inspired, or helped, wrote to thank him. One remembered meeting Woody in 1983:

“... You were gracious enough to do a pregame interview with this kid from the student radio station. You treated me with the utmost respect and I’ve never forgotten that encounter. I walked away from that saying I want to be like that guy. I want to handle myself and represent a university like Woody Durham represents North Carolina. …”

Mostly, the letters came from people who’d just listened over the years. They came from Charlotte and Greensboro, from smaller towns like Hickory and Fairview and Statesville. Some wrote to say that, to them, two men symbolized UNC basketball: Dean Smith and Woody Durham.

Others wrote to share memories. Mike Griffin of Indian Trail wanted Woody to know that he listened to the Walter Davis call, among others. Griffin wrote by hand:

“... It will always be the voice of Woody I remember and cherish. I would put my AM radio in the window so I could listen to the games on fall afternoons when I raked leaves ...”

Mike Griffin said he often would spend fall afternoons raking leaves while listening to Durham call football games on the radio.

Griffin ended his letter thanking Woody for the “great joy” he delivered with his words. Jean collected the letters in a large envelope she kept in the kitchen, neatly writing the return addresses on them so that she and Woody could respond.

Woody, meanwhile, tried to maintain what hadn’t been lost. He did speech and language exercises at home, hoping the words might come a little more easily, and every week in speech therapy Woody tried to hold on.

The fight

On a Wednesday in late July, Woody arrived about 10 minutes early for his speech therapy appointment, in a UNC Health Care building that used to be a large bookstore. He walked in with Jean. She usually went with him, there for support but also just to be by his side.

For the first couple of months after the diagnosis, Woody went to speech therapy once a week, always on Wednesdays. After a while he went every other Wednesday. The goal was never restoration, because aphasia would never give anything back. It would only take.

Woody went to try to slow the leak in the bucket. He went to fight the inevitable.

Woody and Jean Durham wait for Woody’s speech therapy appointment with Amber DePalma in February.

He always walked out of the sessions with homework, worksheets to complete. They required the kind of language recall skills that are easily taken for granted until they erode.

Once, one of the questions was to name a green vegetable. Woody quickly thought of one: Lima bean.

He repeated the words but he couldn’t spell them. Jean helped.

Woody walked into a small office, no windows and bright lights, and sat on the other side of a desk from Amber DePalma, his speech therapist. She began with a review and asked Woody about his homework.

“Did pretty good,” he said. “Took a long time to get it done. I had to have some help again.”

“That’s always OK,” she said with a tone of reassurance.

They began with an exercise on explaining proverbs and expressions. DePalma asked Woody to explain the phrase “ignorance is bliss.”

There were eight seconds of silence before Woody repeated the phrase slowly, quietly.

“Ignorance is bliss.”

Then six more seconds before he began an answer: “Sounds like something that you … put like … something down and you’re going to think that it’s OK. … Is that close?”

DePalma, who graduated from Florida State not long ago, tried to explain in a way that might make sense to Woody. She used sports.

“Now you know me,” she said. “I never miss a Florida State football game.”

Woody laughed.

“But say I did,” she said, “And I went to bed and I missed the game and they lost. And I wake up and I didn’t know about the loss – ‘ignorance is bliss.’ 

Woody was able to explain, in his own way, “blood is thicker than water” and “in one ear and out the other” and “on cloud nine.” They weren’t perfect explanations, but DePalma taught Woody to describe the phrase or word he wants to say when he’s unable, and he made his way through it.

The next exercise was word identification, based on clues. Seventy-two seconds passed before Woody identified the first word: “desk.” The next one – “it’s found where roads intersect and has three colors,” DePalma told him – gave him more trouble.

Seven seconds went by before Woody started to answer. He stopped. Six more seconds. He started again – “I want to say ...” – before another six seconds passed. DePalma began drawing on a piece of paper and finally Woody nodded, looking relieved.

“Traffic light,” he said.

“Some of these are tricky,” DePalma said.

Woody Durham concentrates during a visit to speech therapist Amber DePalma last July.

Moments later she described something Woody heard tens of thousands of times in his years in a football press box, or next to a basketball court. DePalma described it as “something noisy,” and something “heard at sporting events.”

“And it’s blown to attract attention,” she said.

“Blown to attract attention,” Woody said, after a six-second pause. “... A gun.”

DePalma told him that referees use these. Eight seconds went by. He asked if they blew them to signal the end of a quarter or a game.

“Could be,” she said. “Or when there’s a penalty or when they’re calling a break in the game, they might blow this.”

“Yeah,” Woody said, the word arriving at last. “Cause that situation is usually just by a whistle.”

“There you go,” DePalma said, sounding excited. “That’s it. You got it.”

It went on like that for another 20 minutes. In the next exercise Woody had to finish sentences with a word that made sense. Then he and DePalma did a worksheet together. She sent Woody home with more.

While he walked out of his appointment Woody thought of his friend Larry Stogner, the longtime WTVD anchor suffering from ALS. Just the previous week Woody and Jean visited Stogner, who died about two months later. It made Woody think about when his own time might come.

“I know I’ve got a thing to fight with this thing,” he said, walking out. “But I know I’m not ready to get out of here.”

NEXT: Life goes on

This story was originally published March 9, 2017 at 9:00 AM with the headline "UNC’s Woody Durham fights against the disease that is stealing his voice."

Sports Pass is your ticket to Charlotte sports
#ReadLocal

Get in-depth, sideline coverage of Charlotte area sports - only $1 a month

VIEW OFFER